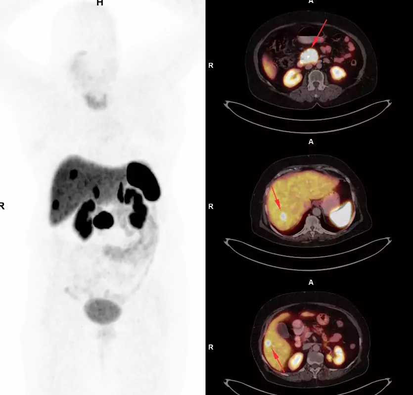
PET (Position Emission Tomography) is a nuclear medicine technique for evaluating biomedical and physiological processes in the body.
The combination with CT scan adds anatomic information.
68Ga labelled DOTATOC is readily available with our in house gallium generator for evaluation of neuroendocrine tumor's at various stages in the disease process.
