CT Guided Biopsies
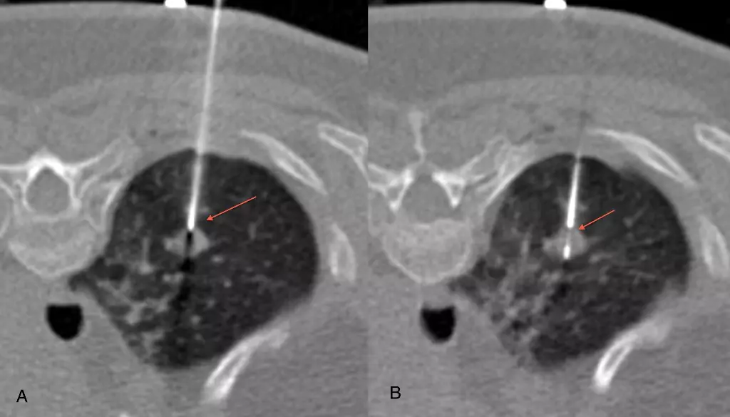
We have pioneered the use of routine core biopsies as against fine-needle aspirations in different parts of the body, especially the lungs.

We have pioneered the use of routine core biopsies as against fine-needle aspirations in different parts of the body, especially the lungs.