Contrast vs Non-Contrast CT Scan: When Each is Needed
Computed Tomography (CT) scan are among the most advanced imaging technologies used in modern medicine. A CT scan provides detailed images of the body, offering critical insights into internal organs, blood vessels, and bones. Depending on the diagnostic requirement, healthcare professionals often choose between contrast and non-contrast CT Scan. But what distinguishes between the two, and when is each type needed? This guide will break it down for you.
Understanding CT Scan
A CT scan employs X-ray technology combined with computer algorithms to create cross-sectional images of the body. These images help doctors to visualise internal structures in ways that have never been seen before and thus can assist in diagnosing many medical conditions.
CT Scan are frequently used to:
- They are often used to identify tumours, infections, or fractures.
- Evaluate internal injuries from trauma.
- Monitor the progression of diseases such as cancer.
- Assist in surgical procedures or biopsies.
CT imaging can be further defined by using contrast agents that highlight certain areas of the body. Let’s see how contrast and non-contrast CT Scan differ from each other and what they are used for.
What is a Non-Contrast CT Scan?
A non-contrast CT scan is performed without using any contrast agents. It depends solely on the natural differences in density between tissues to create the image.
When is it required?
Non-contrast CT Scan are always used when attention is needed to conditions where contrast agents add little value to the diagnosis. These cases may be;
- Head Injuries: The detection of hemorrhage, fractures, or swelling within the brain.
- Kidney Stones: Specialised discovery of stones in the urinary tract without interference by contrast agents.
- Lung Screening: The detection of lung nodules or pneumonia.
- Bone Fractures: Evaluation of fractures or bone density problems.
This type of scan is usually faster and carries no risk of allergic reactions to contrast agents, so it is the preferred test for some conditions.
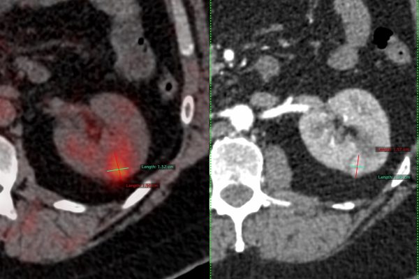
What is a Contrast CT Scan?
It involves administering a contrast agent, either orally or through an intravenous route, or both. Contrast agents enhance the visibility of blood vessels, tissues, and even organs. Thus, abnormalities may be easily detected.
When is it needed?
Contrast CT Scan are recommended to provide rich details in the imaging of soft tissues or blood vessels. A few of its applications include:
- Cancer Detection: Highlights tumours and measures their size and spread.
- Heart and Blood Vessels: Checking for blockage, aneurysm, or other vascular pathology.
- Abdominal Problems: Detection of such diseases as appendicitis infection or blockages.
The contrast images of CTs are more definite. However, not all patients can withstand contrast agents, particularly patients with serious kidney problems and those previously diagnosed with a history of allergic response.
Key Differences Between Contrast and Non-Contrast CT Scan
| Feature | Non-Contrast CT Scan | Contrast CT Scan |
| Use of Contrast Agent | No | Yes |
| Clarity of Imaging | Relies on natural tissue density | Enhances visibility of blood vessels and soft tissues |
| Applications | Suitable for bone injuries, kidney stones, and lung conditions | Ideal for cancer detection, vascular issues, and abdominal problems |
| Speed | Faster | May take longer due to contrast administration |
| Patient Suitability | Safer for patients with kidney issues or allergies | Requires screening for allergies and kidney function |
Understanding these differences can help doctors and patients make informed decisions about which type of scan is best suited to a particular condition.
Choosing the Right CT Scan for Your Needs
Medical experts use several parameters in choosing whether it is going to be contrast or non-contrast CT scanning between the two:
- The Condition Being Investigated: Some conditions, such as kidney stones, are best diagnosed without contrast agents, while others, like vascular diseases, require contrast for detailed imaging.
- Patient History: Allergies to contrast agents or pre-existing kidney conditions may limit the use of contrast CT scan.
- Urgency of the Diagnosis: Non-contrast scans are often quicker and may be preferred in emergencies.
These factors should be discussed with a healthcare provider to ensure the best, safest imaging strategy.
Advantages of CT Scan
Whether a scan is with or without contrast, some benefits include the following:
- High Resolution: Detailed, accurate images help in diagnosis with accuracy.
- Non-Invasive: It is a painless, rapid technique to visualise internal parts.
- Versatility: Suitable for the diagnosis of various diseases.
A Diagnostic Centre Offering a CT scan look for:
- Experienced Radiologists: Interpretive skills for a CT scan.
- Advanced Technology: Modern equipment that may also be available in the form of a 3D CT scan.
- Patient-Centric Care: A patient-friendly and safety-orientated procedure. Transparent pricing of services, including the 3D CT scan price, will enable them to budget accordingly.
How to Prepare for a CT Scan
Proper preparation can enhance accuracy and ensure patient safety. Here are some essential tips:
For Non-Contrast CT Scan
- Wear loose, comfortable clothing.
- Remove any metal objects like jewellery, as they can interfere with imaging.
For Contrast CT Scan
- Follow specific instructions about eating or drinking before the scan.
- Inform your doctor about allergies or medical conditions.
- Stay hydrated to help your body process the contrast agent.
Your healthcare provider will provide detailed guidance based on your individual needs.
Innovations in Technology
Advances in CT technology keep bringing into play advanced diagnostic capabilities. A notable example is the conception of 3D CT, which, through its clear images, is quite useful for complex cases or, rather, surgical planning.
Modern diagnostic centres also complement their radiology equipment with AI-driven tools to ensure accuracy and efficiency in CT imaging for the highest quality of care.
Conclusion
Both contrast and non-contrast CT scan play crucial roles in medical diagnostics, though suited to needs. Awareness of the difference between the two is important to make better decisions for improved outcomes.
If you need a reliable CT scan service, choose a diagnostic centre with a reputation for excellence and state-of-the-art technology. Whether you’re exploring options for a routine scan or require advanced imaging, consult with healthcare professionals to determine the best approach for your unique circumstances. With the right preparation, equipment, and expertise, it remains an indispensable tool in modern medicine, aiding in accurate diagnoses and effective treatments.



